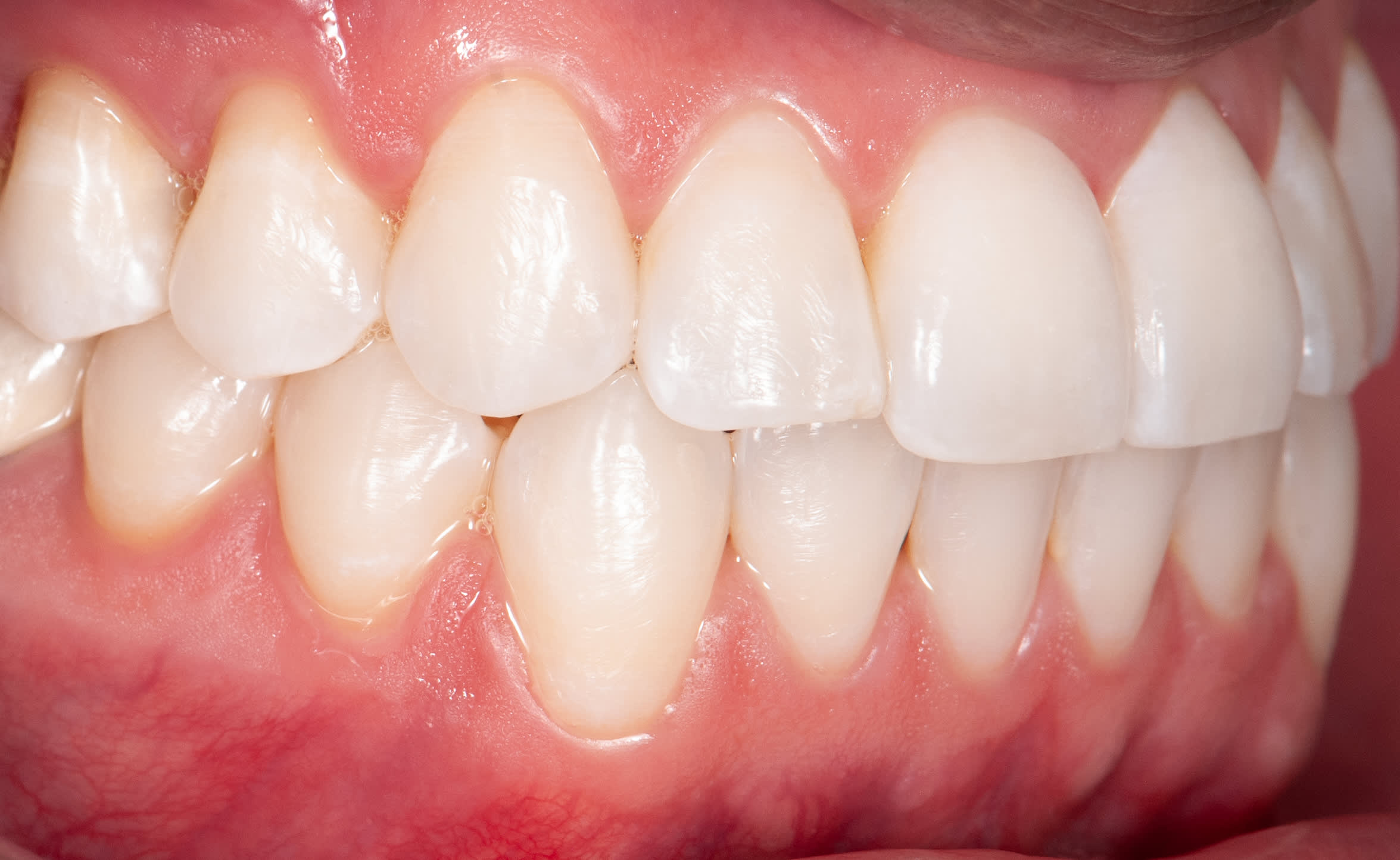
Aclaramiento Dental

Nuestros tratamientos de aclaramiento dental están diseñados para mejorar la apariencia de su sonrisa, eliminando manchas y decoloraciones de los dientes. Ofrecemos una variedad de técnicas, incluyendo aclaramiento externo e interno, para lograr resultados óptimos.


Imagen

¿Qué es el aclaramiento dental y cuándo es necesario?

El aclaramiento dental es un procedimiento que se realiza en dientes cuyo color se ha visto comprometido por pigmentaciones externas provocadas por alimentos, bebidas oscuras, hábitos como fumar, higiene oral deficiente o el uso de ciertos medicamentos.


¿Cuáles son las técnicas de aclaramiento dental?

Existen diferentes técnicas para realizar el aclaramiento dental, dependiendo de si la pigmentación es externa o interna.

  • Aclaramiento interno: Procedimiento realizado en dientes pigmentados en su interior, generalmente posterior a tratamientos de conductos.
  • Aclaramiento externo: En consultorio se aplica el tratamiento aclarador por la Doctora Esmeralda Ruiz; En casa requiere el uso de acetatos blandos removibles como medio para aplicar el gel aclarador sobre los dientes bajo la supervisión de la doctora tratante.
Imagen

Imagen

¿Cuáles son las ventajas del aclaramiento dental?

El aclaramiento dental ofrece múltiples ventajas, entre las cuales destacan la reducción de manchas, una sonrisa más estética y luminosa, rejuvenecimiento del rostro, mejora de la autoestima, y el estímulo para el autocuidado.

  • Reduce manchas dentales provocadas por alimentos o hábitos como el cigarrillo.
  • Obtienes una sonrisa más clara y luminosa.
  • Rejuvenece el rostro al armonizar la sonrisa.
  • Mejora la autoestima al aportar confianza y seguridad.
  • Estimula el autocuidado al ver la mejoría en la salud oral.

Agenda tu Cita con la Dra. Esmeralda Ruiz | Odontología en Bogotá

Agenda tu cita con la

Dra. Esmeralda Ruiz

¡Escríbenos ahora y te agendaremos una cita fácilmente!
Obtén atención personalizada con el mejor equipo de odontología en Bogotá.


Tratamientos Realizados

Desliza hacia la izquierda o derecha para ver y comparar los resultados de antes y después. ¡Explora los cambios sorprendentes!

Antes / Después

Antes / Después

Preguntas Frecuentes

Es un procedimiento que mejora el color de los dientes, eliminando manchas y decoloraciones para obtener una sonrisa más clara y estética. Puede realizarse de manera interna o externa, dependiendo del origen de la pigmentación.

Agenda tu cita ahora

Con la Doctora Esmeralda Ruiz

Imagen